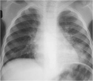
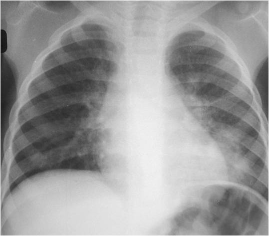
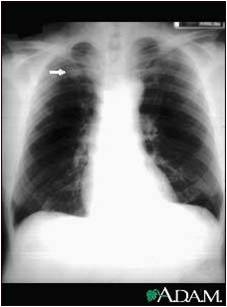
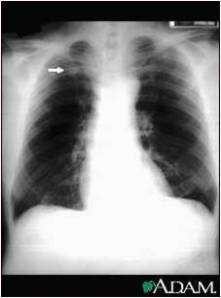
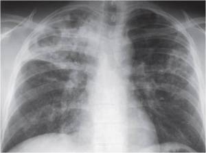
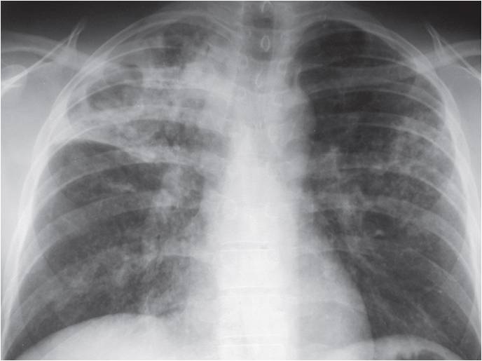
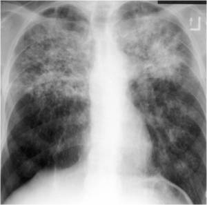
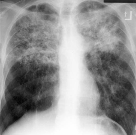
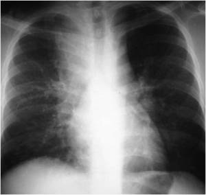
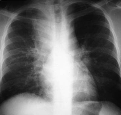
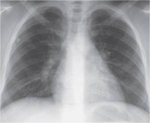
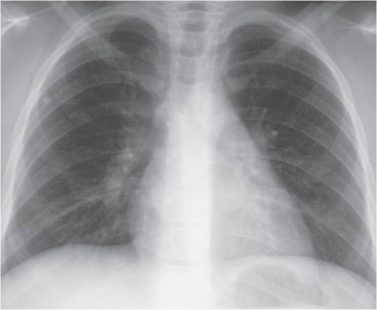
The following are examples of how Active TB may look on CXR:

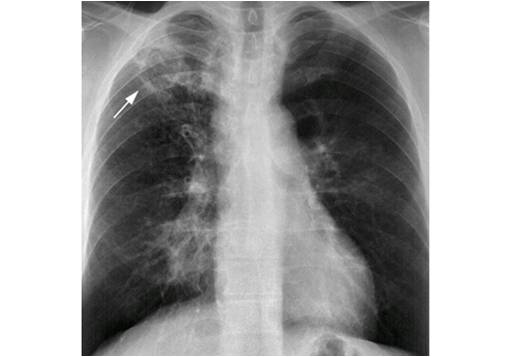
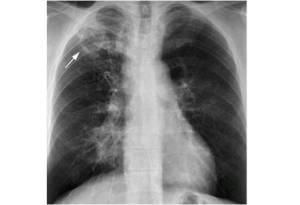
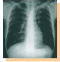
Primary TB – LLL Infiltrate.
Mimics any pneumonia; occurs in debilitated pts, when Mtb first enters lung, and innate immune system unable to contain it.
A CXR reading of “calcified granulomas” is NOT active. Merely the burnt-out remnants of where Mtb first entered the lungs. Simply Latent TB Infection; address the same as a positive PPD / IGRA with “normal CXR”.
A reading of “old scar” or “old granulomatous disease, not active” is WRONG unless there’s mention of a prior comparison film with “no change” or “stability”.
.








